2015-06
Posted on 2015-06-10母校で講義をさせて頂いて気づいたこと。
昨日は母校の長崎大学で、
講義と実習をさせて頂いてきました。
今年の4月から、
「保存修復学」という
むし歯で穴が開いてしまった時に
最初に選択されることが多い治療に関する、
教育の機会を頂いています。
ここは歯科医師になって10年半の間
お世話になった「大切な場所」。
大好きな先生方、学生さん、患者さん達と
「大学の先生」として共に過ごした時間は宝物です。
約8年ぶりに
大切な場所に行ってみると・・・
その当時、
若手のインストラクターとして
先輩の先生方のお世話になりながら
必死に仕事をしていた頃とは、
見える景色がまったく違っていることに、
気づきました。
この8年の間で、
ひとりの人として歯科医師として
大きく成長すると共に、
大学病院の先生から
「大学病院の先生を経た開業医」の視点に
すっかり変わっていたのです。
この変化した視点こそ、
臨床教授として
わたくしがお役に立てる「強み」なのですね。
講義のタイトルは、
「より豊かな人生をサポートする歯科審美
~美からはじまる「歯の保存」~」。
歯の審美治療の総論や治療内容について、
患者さんに承諾頂いた
豊富な「ビフォーアフターのお写真」と共に、
実際のストーリーをお伝えすることによって、
歯科医師になること楽しみになることを願いつつ・・・
熱く語ってまいりました。
講義の最後には、
患者さんにもスタッフ達からも信頼され続ける
歯科医師であり、
大切な家族と豊かに生きる人になるために
「今」できること
についてもお話ししました。
自立した精神を持つこと、
常に学び続けること、
そして・・・
歯科医療を提供する医師に相応しい
お口元の環境づくりをしておくこと。
少々厳しいことも言いましたが、
授業の後には
「感動しました!」と質問に来てくれる人や
午後の実習開始までに
白衣を纏うに相応しい身なりに整えてきた人も。
20学年も差がある後輩達で、
わたくしが学生の頃とは
ずいぶん変わっていることもありますが、
基本的な部分は変わらないのだなと思い、
嬉しくなりました。
今回頂いている教育の機会は、
わたくしが歯科医師として
さらに磨きをかけるエネルギーを生み出す
きっかけになっています。
今年度はあと2回。
クローバー歯科のスタッフや患者さん達、
わたくしの同期をはじめ医局員の先生方に
ご協力頂きながら、
しっかりと務めてまいりますね。
大好きで優秀な
大学の同期2人と共に。
最高の美しさと同時に
むし歯になりにくい歯をつくるための
ホワイトニング
http://www.perfectsmile.jp/officewhitening.html
ホワイトニング無料カウンセリング
http://www.perfectsmile.jp/priceflow.html
むし歯になりにくく
自然な仕上がりで高品質。
ハイレベルな技術の
歯科技工士立ち会いによる
セラミック治療
http://www.perfectsmile.jp/beauty.html
歯の審美治療ビフォーアフター集
http://www.perfectsmile.jp/cases.html
*********************
http://ameblo.jp/clover-blog
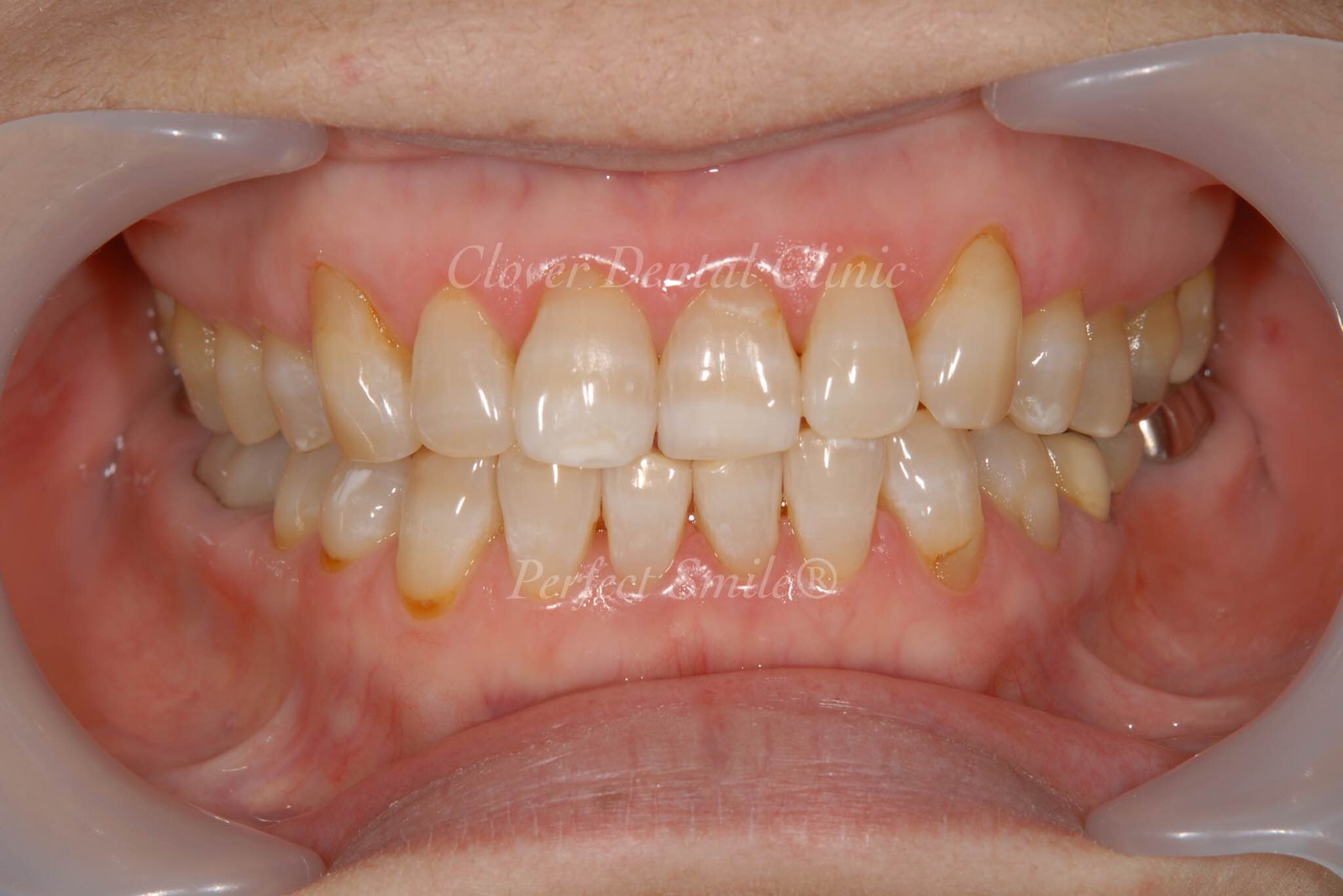
Posted on 2015-06-09【歯のホワイトニング ビフォーアフター】とても丁寧な施術に驚き、安心して受けることができました。
長年にわたって、
黄ばんだ歯と前に出ている歯を
気にしていらっしゃったアキ様(仮名)。
市販されている
歯が白くなるという歯磨きペーストを
熱心に使いながらも、
歯科医院での処置を
受けられることはなかったそうです。
信頼しているお知り合いの方が
クローバー歯科を定期的に受診されていて、
「とても良い評判」をお聞きになったとのことで、
歯の審美治療のご相談にお越しになりました。
すべての歯が、
わたくしがご用意している
「歯の色見本」の中でも最も暗いレベルのお色で、
縞模様や根の治療後の変色のように、
他の多くとは異なる条件の歯もおありになりました。
ライフスタイルやご要望などを伺ったところ、
とてもお忙しい毎日を送られているため、
歯科医院で「すべての処置を終えられる」ことが
もっとも重要と分かりましたので、
わずか1回の施術で、
自然で美しい白い歯と同時に
むし歯になりにくい歯をつくるオフィスホワイトニング、
「Perfect Smile® in office」のスタンダードコースを
受けて頂くことに致しました。
処置後はこちらです。
上の中央にある前歯2本は
他の歯よりも少し暗いお色でしたが、
「Perfect Smile® in office」施術後は
20本の歯すべてが同程度の明るさになり、
とても美しくなりました。
縞模様がある歯も、
小麦色や色白のお肌と同じように
ひとつの「個性」。
著しく審美性を損ねる程度ではございませんので、
今回は「歯を削らない」ことを最優先し
そのままにしております。
長年にわたって
気にされていた歯の黄ばみが、
わずか一度の施術で
ご期待以上の白さになられたことを
アキ様は
とても喜んでいらっしゃいました。
ご感想を頂いております。
1.今回オフィスホワイトニングをお受けになったきっかけは何ですか。
きれいな白い歯になりたかったので。
2.実際お受けになって良かったことをお教え下さい。
とても丁寧な施術におどろきました。
安心した気持ちで受けることができたことが、良かったです。
ありがとございます。
まずは歯の色が、
とても美しくなられて良かったですね。
歯を削らずに
クローバー歯科ですべての処置を終えられる
最高の美しさを手に入れられました。
わたくしと共に、
アキ様の美と健康への可能性を少しずつ
ひろげてまいりましょう。
歯を削らずに
自然な美しさが得られるホワイトニングは、
健康面においても大きなメリット。
笑うときにはつい
「口を手で押さえてしまう。」
ササッと磨くだけで
「歯をきちんと見たことがない。」
鼻づまりしすいので
「口で呼吸する習慣がある。」
歳を重ねるごとに
「歯の色が濃くなってきた気がする。」
紅茶、コーヒー、緑茶、ルイボスティー、
赤ワインを「よく飲む。」
そんなあなたは、
歯の色が美しくなる素質をお持ちです。
まずはご自分の歯を
鏡でよくご覧になってみて下さい。
どんな歯が見えますか?
最高の美しさと同時に
むし歯になりにくい歯をつくるための
ホワイトニング
http://www.perfectsmile.jp/officewhitening.html
ホワイトニング無料カウンセリング
http://www.perfectsmile.jp/priceflow.html
むし歯になりにくく
自然な仕上がりで高品質。
ハイレベルな技術の
歯科技工士立ち会いによる
セラミック治療
http://www.perfectsmile.jp/beauty.html
歯の審美治療ビフォーアフター集
http://www.perfectsmile.jp/cases.html
*********************
http://ameblo.jp/clover-blog
Posted on 2015-06-08「私なんてとても・・・」と思う方にこそ、素質が大いにあるのです。
昨日、長男の中学校に行くと、
いくつかの部活動がおこなわれていました。
その様子を見ながら、
この時期は自分だけでなく先生などからも
チャレンジという「成長の機会」を頂くことで、
育まれていたのだなと思っていました。
大人になりますと、
自分で意識して決めていかなければ
日常に溢れている成長の機会を
次々と逃してしまうことになるのですね。
これはお口元に関しても同じで、
あなたにも必ず「美男美女の素質」があります。
わたくしのところまで
ご相談や治療にお越しになる方は、
ご自身で「伸びシロ」に気づき行動できている
ということ。
それと同時に、
自分の素質に気づかない
あるいは見て見ぬ振りをしている方や、
気づいても行動する前に諦めている方が
数多くいらっしゃる。
これがとても残念なのですね。
「私なんてとてもできない」
「私には縁のないこと・・・」
そんな風に考えているあなたこそ、
実は素晴らしい素質をお持ちなのです。
ひとつずつ、
それに気づく方法をお伝えしていきますね。
むし歯になりにくく
自然な仕上がりで高品質。
ハイレベルな技術の
歯科技工士立ち会いによる
セラミック治療
http://www.perfectsmile.jp/beauty.html
最高の美しさと同時に
むし歯になりにくい歯をつくるための
ホワイトニング
http://www.perfectsmile.jp/officewhitening.html
ホワイトニング無料カウンセリング
http://www.perfectsmile.jp/priceflow.html
歯の審美治療ビフォーアフター集
http://www.perfectsmile.jp/cases.html
*********************
http://ameblo.jp/clover-blog
Posted on 2015-06-07コソッと応援、講義&実習スライド最終仕上げの休日です。
昨日の仕事では、
治療を受けられた方のご感想から
大変お喜びのご様子を感じましてね。
様々な情報が溢れる中で
クローバー歯科を見つけて頂き、
勇気と期待を持って踏み出した
「はじめの一歩」をサポートする体制の大切さを
実感していました。
この方にも
ビフォーアフターをご協力頂きましたので、
改めてご紹介致しますね。
今朝は、
中学生の長男の試合をコソッと
応援に行く時間を作っていますよ。
コソッと行くのは、
「応援に行くね」と事前に伝えてしまいますと、
「来ないでね」と言うからなのです。
授業参観には来て欲しいようですが、
試合の応援は照れ臭い様子の長男。
まだまだ子どもで可愛いですね。
その後は動画の編集など、
長崎大学でさせて頂く講義と実習で使う
スライドの最終仕上げをしますよ。
歯学部の学生達が、
歯科医師になることが楽しみになる
時間にしたいと思っています。
まとまった時間は「宝」ですから、
集中して取り組みます♪
むし歯になりにくく
自然な仕上がりで高品質。
ハイレベルな技術の
歯科技工士立ち会いによる
セラミック治療
http://www.perfectsmile.jp/beauty.html
最高の美しさと同時に
むし歯になりにくい歯をつくるための
ホワイトニング
http://www.perfectsmile.jp/officewhitening.html
ホワイトニング無料カウンセリング
http://www.perfectsmile.jp/priceflow.html
歯の審美治療ビフォーアフター集
http://www.perfectsmile.jp/cases.html
*********************
http://ameblo.jp/clover-blog
Posted on 2015-06-06あなたにも「美男美女の素質」があるのです。
わたくしがご提供させて頂く
歯の審美治療「Perfect Smile®」は、
ただ単に
「歯を白くする」「銀歯を白くする」
「歯並び・かみ合わせを整える」のではなく、
すべての歯科治療を
ご本人の価値観に寄り添った
最高の状態でご提供することによって、
患者の皆様の「可能性を引き出す」こと。
治療直後が
治療前よりも健やかで美しいのは
当然のこととして、
わたくしは、
メインテナンスを続けることで
より健やかで美しくなって頂くことに
こだわりを持っています。
18年間にわたり、
何万人もの方を診させて頂いた経験から
わたくしが確信しているのは、
「すべての人には
『美男美女の素質』があり、
その方に最適な治療を施すことで
本来あるべき『美しい姿』に変わる。」
ということ。
女性だけでなく男性にとっても
「美しさ」は大きなアドバンテージとなりますが、
「元々の形」が美しい人はごくわずか。
顔の印象に
大きく関わるお口元に関しても同じで、
ほとんどの方は何らかの治療が必要なのですね。
歯並び・かみ合わせが良くなれば
お口元と共に顔全体が整い、
整ったお口元から見える美しい歯の色や形は
輝く魅力的な笑顔を作り、
輝く魅力的な美しい笑顔は
自らに自信と「余裕」を生み出し、
職業人やひとりの人としての
あなたの素晴らしさが
語らずとも次々と伝わっていく・・・。
美しく整えられたお口元には、
挙げれば限がないほど様々なメリットが
あるのです。
さらにその美しさが、
「年齢を重ねるごとに増していく」のであれば、
あなたの人生の豊かさは計り知れない
大きなものになっていくでしょう。
若い頃の美しさは
内面の「未熟」な時期に限られた儚いもので、
未熟さがその美しさをより輝かせます。
「勝負」の時だけ
見たくない部分を隠して良く見せる美しさは、
そのベールを脱げば
当然「今の姿」を目にすることになりますから、
本当の姿を知っている「あなた」を
かっがりさせてしまう。
根本から美しく整った歯や歯並びは、
若い時期に限られた儚いものでも見せかけでもなく
年齢を重ねるほどに「価値」が増していくものなのです。
クローバー歯科の「Perfect Smile®」は、
本当に大切なことを大切にすることによって、
「真の美しさ」を生み出す審美治療です。
今イメージできる「なりたい姿」だけでなく
「本来のあなたに相応しい形や環境」を手にされることで、
より豊かな人生を送って頂くことを大切にしています。
「お口元を美しく整える」医療は、
歴史あるものから最新までございますが・・・
本当に大切なことを大切にすること、
そして、
受け取って頂くあなたの準備を
整えた上で施すこと。
これらが、
治療直後はもちろん
長期間にわたって美しさを保つだけでなく、
年齢を重ねるごとにその美しさが増していき、
あなたにも必ずおありになる、
「美男美女の素質」が引き出されることに
繋がるのです。
今のあなたは、
本来あるべき姿をしていません。
勇気を出して
あなたの可能性をひろげる扉を開き、
わたくしと共に、はじめの一歩を踏み出しましょう。
むし歯になりにくく
自然な仕上がりで高品質。
ハイレベルな技術の
歯科技工士立ち会いによる
セラミック治療
http://www.perfectsmile.jp/beauty.html
最高の美しさと同時に
むし歯になりにくい歯をつくるための
ホワイトニング
http://www.perfectsmile.jp/officewhitening.html
ホワイトニング無料カウンセリング
http://www.perfectsmile.jp/priceflow.html
歯の審美治療ビフォーアフター集
http://www.perfectsmile.jp/cases.html
*********************
http://ameblo.jp/clover-blog
Posted on 2015-06-05【歯の審美治療ビフォーアフター】治療が終わってから、さらに美しくなっていることを実感しています。
約7年前、
クローバー歯科を開院したばかりの頃です。
年齢を重ねるごとに
歯の黄ばみが気になってきたので、
「歯を削らずに、今より少し白くなりたい」
ということで、
当時50歳代のミツコ様(仮名)が
お越しになりました。
当時採用していた、
オフィスホワイトニングの施術により
元の色より「少し白く」なったのを機会に、
自然と・・・
歯を削らずに「できるだけ白くなりたい」という
お気持ちが生まれましたので、
期間は長くなりますが、
より明るい歯が期待できる「ホームホワイトニング」に
じっくり取り組んで頂くことになりました。
約4週間後はこちらです。
急激な変化をもたらすオフィスホワイトニングと
少しずつ変化を促すホームホワイトニングを組み合わせた
「デュアルホワイトニング」の施術によって、
歯を削らずに実現可能な
ご自身の「最高の状態」になられました。
その後は、
わたくし達がお勧めするホームケアと
定期的なプロフェッショナルケアの
二本柱からなる、
いつもの生活にマッチし、
無理なくしっかりと
メインテナンスを続けていきました。
その間、
奥歯のブリッジをインプラントに
金属で治療を受けられた部分の殆どを
セラミックに替えてより良くなられただけでなく、
削らずに施術したご自身の歯までも、
より美しくなっていかれました。
約7年経過後です。
「治療が終わってから、
さらに美しくなっていることを実感しています。
歯の審美治療を受ける前には
あまり目を向けたくなかったのですが、
『汚したくない』という気持ちが出てきて
歯を大切に使っています。」
とおっしゃっていました。
あなたもご一緒に、
ミツコ様がより健やかで美しくなる過程を
是非ご覧下さいませ。
歯の審美治療は、
単に「歯を白くする」「銀歯を白くする」
「歯並び・かみ合わせを整える」ということではなく、
すべての歯科治療を
ご本人の価値観に寄り添った
最高の状態でご提供することによって、
患者の皆様の「可能性を引き出す」こと。
治療直後が
治療前よりも健やかで美しいのは
当然のこととして、
わたくしは、
メインテナンスを続けることで
より健やかで美しくなって頂くことに
こだわりを持っています。
明日は、
この点についてお話しさせて頂きますね。
むし歯になりにくく
自然な仕上がりで高品質。
ハイレベルな技術の
歯科技工士立ち会いによる
セラミック治療
http://www.perfectsmile.jp/beauty.html
最高の美しさと同時に
むし歯になりにくい歯をつくるための
ホワイトニング
http://www.perfectsmile.jp/officewhitening.html
ホワイトニング無料カウンセリング
http://www.perfectsmile.jp/priceflow.html
歯の審美治療ビフォーアフター集
http://www.perfectsmile.jp/cases.html
*********************
http://ameblo.jp/clover-blog
Posted on 2015-06-04今だけでなく、時を経るごとに磨かれる美しさを
本日6月4日は「むし歯予防の日」、
10日までの1週間は「歯の衛生週間」です。
平成25年の簡易生命表によりますと、
日本人の平均寿命は
男性が80.21歳、女性が86.61歳で
「世界有数の長寿国」。
その一方で、
日常生活に制限なく生きられる期間
「健康寿命」は男女とも、
平均寿命の約10年短いというデータが
出ているのですね。
健康で活き活きと
大切な人達と楽しい毎日を送りながら
命が長く続いていくのであれば、
とても素敵なことですが・・・
このデータのように、
約10年も日常生活に制限がありつつ
生きていくのは、
自分だけでなく、
大切な家族にとっても
心苦しい時間になってしまいます。
その健康寿命を延ばすために
大切なことのひとつは「歯の健康」ですが、
健康あるいは病気というのは、
毎日の習慣の積み重ねで
少しずつ現れてくるものですから、
ちょっぴり
「窮屈」や「面倒」に感じてしまうことが、
誰にでもありますよね。
わたくしの
歯の審美治療「Perfect Smile®」では、
誰もが感じる窮屈感や面倒さを
「楽しみ」や「喜び」に変え、
治療後の美しさだけでなく
長期間にわたってその美しさが保たれ
さらに磨かれることによって、
自然と、無理なく・・・
健康寿命を延ばしていくことができるのです。
明日は、
患者さんにご協力頂いて
その具体例をご紹介致しますね。
むし歯になりにくく
自然な仕上がりで高品質。
ハイレベルな技術の
歯科技工士立ち会いによる
セラミック治療
http://www.perfectsmile.jp/beauty.html
最高の美しさと同時に
むし歯になりにくい歯をつくるための
ホワイトニング
http://www.perfectsmile.jp/officewhitening.html
ホワイトニング無料カウンセリング
http://www.perfectsmile.jp/priceflow.html
歯の審美治療ビフォーアフター集
http://www.perfectsmile.jp/cases.html
*********************
http://ameblo.jp/clover-blog
Posted on 2015-06-03歯は、いつでもあなたと共に生きているのです。
おはようございます。
今朝は、給食がお休みの長男のために、
お弁当を作りました。
こうして
長男のお弁当を作らせてもらえるのも
あと数年・・・でしょうから、
「お弁当作り」も自然と、
母の愛を込めて丁寧にしたくなりますね。
昨夜、長男と夕食を食べていましたら、
こんな質問を受けました。
「ねえお母さん、
お母さんの作ったご飯を食べられるのは
歯があるからでしょ?
俺はむし歯ないからいいけど、
もしもむし歯で歯がなくなったら
すごい食べにくくなるんだろうねー。」
両親とも歯科医師のためか
長男は「歯」に関心がある様子で、
時々質問をしてくれるのですね。
「あなたの歯は・・・
大好きな人と一緒に食事をする時も、
大切な誰かに愛を込めて
大切なことを伝えている時も、
素敵な笑顔で誰かに
幸せのおすそ分けをしている時も、
運動会で組体操や全力疾走、
部活でバスケットボールをする時も・・・
いつでもどんな時でもあなたに寄り添って
支えてくれているのだから、
歯ってすごいね。
歯は、
あなたと一緒に生きている
かけがえのない『大切な相棒』。
だから、
一日の終わりには、
どんなに眠くても面倒くさくても・・・
今日もいつもと変わらず
支えてくれたことに感謝しながら、
やさしく丁寧に磨いてあげてね。」
と伝えました。
気づけばすぐそこにあった物事でも、
当たり前にあり続けるものは
ひとつもありませんから、
失ってしまう前に、
その有り難みに気づける人でありたいですね。
長男との会話から、
健やかで美しいお口元の役割を
改めて考えた昨夜でした。
むし歯になりにくく
自然な仕上がりで高品質。
ハイレベルな技術の
歯科技工士立ち会いによる
セラミック治療
http://www.perfectsmile.jp/beauty.html
最高の美しさと同時に
むし歯になりにくい歯をつくるための
ホワイトニング
http://www.perfectsmile.jp/officewhitening.html
ホワイトニング無料カウンセリング
http://www.perfectsmile.jp/priceflow.html
歯の審美治療ビフォーアフター集
http://www.perfectsmile.jp/cases.html
*********************
http://ameblo.jp/clover-blog
Posted on 2015-06-02私たちは、「美と健康への可能性を引き出す」ための医療や環境を提供します。
おはようございます。
昨日のスタッフミーティングは、
歯科業界大手(株)オーラルケアの
歯科衛生士 小倉さんをお招きしました。
福岡で仕事があるたびに、
クローバー歯科まで
足を運んで下さっているのですが、
スタッフ達との交流は初めて。
人の「可能性を引き出す」ために、
治療後のメインテナンスや
矯正治療中のサポートなどについて
お話し頂くと共に、
皆で意見交換をして、
有意義なお時間を過ごしましたよ。
最後は、
次のアポイントがある院長をお見送りし、
残りのメンバーで記念撮影。
今までは
院長とわたくししか
小倉さんと意見交換することはなかったのですが、
スタッフにも輪が広がって、
とても幸せなお時間となりました。
クローバー歯科のコンセプトは、
「美と健康への可能性を引き出す」です。
患者の皆様にとって、
長期的な視点で「やさしい」と言える
医療や環境をご提供するために、
すべての行動を選択しています。
お口の中の病気の多くは
すぐに命を失うものではなく、
「少しずつ生活の質を下げていくもの」。
そのため、
「自分の身体は自分で守る」という心構えで
大切にお使い頂くこと、
病気になってしまった場合には、
「必ず治す」という強い気持ちと取り組みが
キーポイントになります。
末永く健康で美しい姿で生きるために、
表面的なやさしさではなく「真のやさしさ」で
継続的にサポートさせて頂けるよう、
優秀で真面目なスタッフ達と共に、
院長とわたくしの「可能性の芽」も
さらに育んでまいりますね。
昨年、わたくしがお受けした
オーラルケアさんのインタビュー記事も、
大変好評を頂いているようです。
記事は「こちら」でご紹介しておりますので、
是非お読み下さい。
むし歯になりにくく
自然な仕上がりで高品質。
ハイレベルな技術の
歯科技工士立ち会いによる
セラミック治療
http://www.perfectsmile.jp/beauty.html
最高の美しさと同時に
むし歯になりにくい歯をつくるための
ホワイトニング
http://www.perfectsmile.jp/officewhitening.html
ホワイトニング無料カウンセリング
http://www.perfectsmile.jp/priceflow.html
歯の審美治療ビフォーアフター集
http://www.perfectsmile.jp/cases.html
*********************
Posted on 2015-06-01患者の皆様に温かく寄り添う「ハートフルコンシェルジュ」を育んでいます。
おはようございます。
今日から6月、
新しい月の始まりは
いつも以上に清々しい気持ちになりますね。
先週土曜日の夜は、
受付キノシタの「新人歓迎会」を
クローバー歯科開院以来お付き合いのある
ご近所の「友池」さんで行いました。
料理長の友池さんが
ひとつひとつ丁寧に作られたお料理と
オーナーご夫妻の心がこもったおもてなしで
とてもリラックスできるお店ですから、
時々お邪魔しています。
院長とわたくし、
先月入社したキノシタ、
先週復帰した歯科衛生士キムラ、
急成長している
歯科衛生士ナカガワとヨシカワの
クローバー歯科常勤スタッフ6名に、
わが家の次男を加え、
美味しいお料理を楽しみつつ
いろんなお話をしておりました。
キノシタは
短大で幼児教育を学んだのですが、
歯科は素人。
本当に真っさらな状態から、
スタッフ達と共にひとつひとつ教えています。
患者さんに
もっとも近い気持ちを持っていることに
歯科の専門的な視点を加え、
患者の皆様に温かく寄り添う
「ハートフルコンシェルジュ」に成長するまで
見守って頂けたら嬉しいです。
クローバー歯科も
さらに大きく成長してまいりますので、
引き続きよろしくお願い致します。

むし歯になりにくく
自然な仕上がりで高品質。
ハイレベルな技術の
歯科技工士立ち会いによる
セラミック治療
http://www.perfectsmile.jp/beauty.html
最高の美しさと同時に
むし歯になりにくい歯をつくるための
ホワイトニング
http://www.perfectsmile.jp/officewhitening.html
ホワイトニング無料カウンセリング
http://www.perfectsmile.jp/priceflow.html
歯の審美治療ビフォーアフター集
http://www.perfectsmile.jp/cases.html
*********************







































最近のコメント